دكتر بابک عموئيان
بابل، كمربندي غربي، ميدان شهيد سجودي، ابتداي خيابان مصطفي خميني، خيابان بيمارستان يحيي نژاد،روبروی خورشید 13, ساختمان تريتا، طبقه پنجم
01144420805
amoian@yahoo.com
دریافت نوبت حضوری
صفحه اصلی
مقالات
بلاگ
درباره دکتر
تصاویر
فرم
ویدئو ها
تماس با ما
دكتر بابک عموئيان
صفحه اصلی
مقالات
مقالات
بلاگ
درباره دکتر
تصاویر
فرم
ویدئو ها
تماس با ما
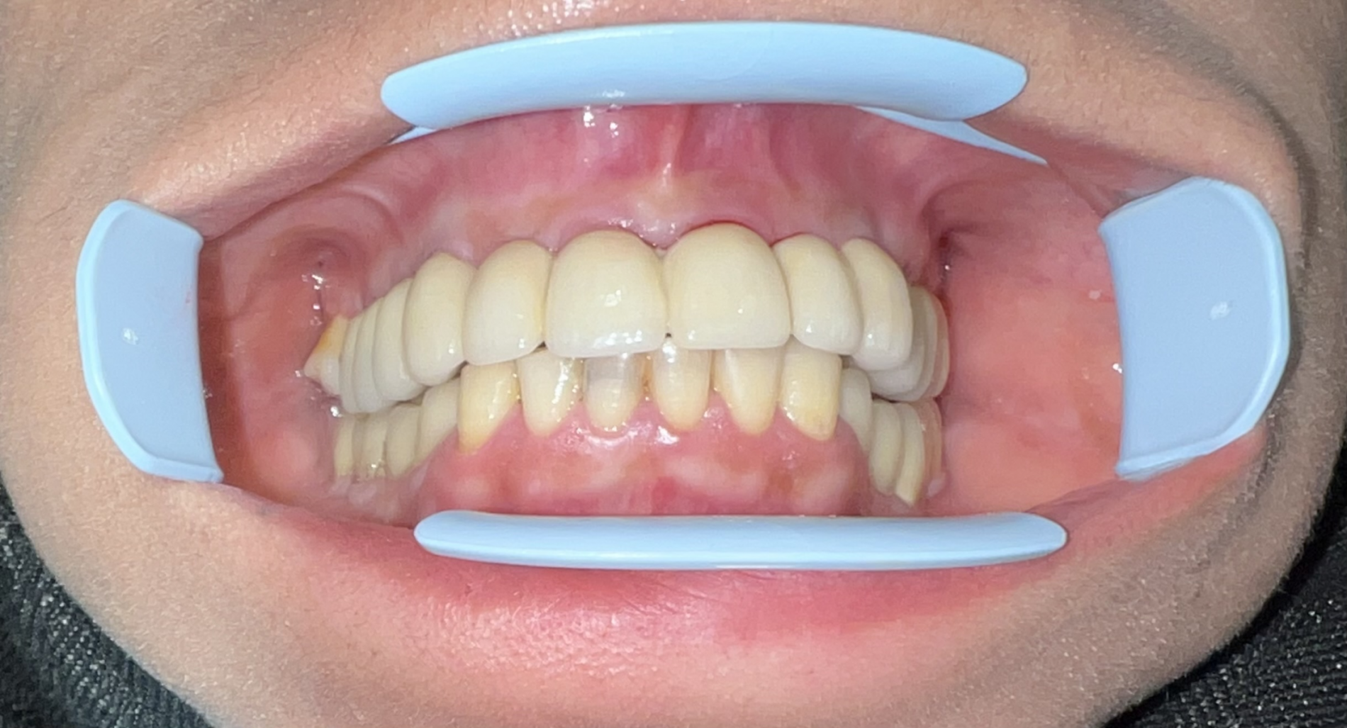
کشیدن دندانهای پوسیده و همزمان ایمپلنت
در آوردن روکشها,کشیدن دندانهای پوسیده و کاشت ایمپلنت اشترومن و پیوند استخوان در یک جلسه.