یک سوال پرتکرار که اغلب پرسیده میشود:
بهترین زمان برای کاشت ایمپلنت چه زمانیست؟: بلافاصله و همزمان با کشیدن دندان ویا چند هفته و یا چند ماه بعد از کشیدن دندان؟
وقتی یک دندان کشیده میشود، معمولاً سه انتخاب اصلی برای زمان کاشت ایمپلنت وجود دارد:
۱. کاشت ایمپلنت بلافاصله بعد از کشیدن دندان (Immediate Implant)
در این روش، ایمپلنت همان جلسه بعد از کشیدن دندان قرار داده میشود.
این کار زمانی انجام میشود که:
- استخوان اطراف ریشه دندان سالم و بدون عفونت شدید باشد.
- ارتفاع و ضخامت استخوان کافی باشد.
- امکان ثابت شدن (فیکس شدن) ایمپلنت در همان جلسه وجود داشته باشد.
- لثه به اندازه کافی وجود داشته باشد بتواند ایمپلنت را به خوبی بپوشاند.
مجاورت خیلی نزدیکی بدلیل کمبود ارتفاع استخوان با ساختارهای آناتومیکمهم از قبیل عصب فکی تحتانی و یا سینوس فکی وجود نداشته باشد.
امکان قرار دادن ایمپلنت در مسیری مناسب و درست که بتوان نهایتا روکش و یا پروتز مناسبی بر روی ایمپلنت ساخته شود وجود داشته باشد.
مزایا:
- کوتاه شدن مدت درمان (نیازی به صبر چند ماهه نیست).
- کاهش تعداد جراحیها.
- حفظ بهتر شکل و حجم لثه و استخوان.
محدودیتها:
- اگر عفونت یا تخریب استخوان وجود داشته باشد، ریسک شکست بالاتر میرود.
- گاهی لازم است همراه با ایمپلنت، پیوند استخوان هم انجام شود.
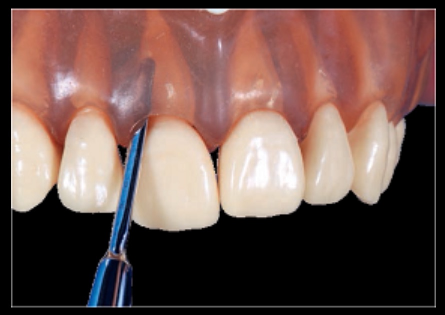
کشیدن دقیق ریشه و قطع الیاف نگه دارنده آن که متصل به استخوان است به کمک پریوتوم به منظور حفظ استخوان و جلوگیری از صدمه به استخوان برای ایمپلنت گذاری بهتردر ناحیه دندان کشیده شده.

شکل شماتیک فوق نحوه عملکرد پریوتوم را در خارج نمودن ریشه بدون وارد آمدن صدمه به استخوان را نشان میدهد

کاشت ایمپلنت بدون هرگونه برش بصورت flapless بعد از کشیده شدن ریشه
۲. کشیدن دندان و آماده سازی ناحیه و کاشت ایمپلنت با تاخیر کوتاه مدت چند هفته ایی(Early Placement)
در این روش، دندان با تکنیکهای خاصی از قبیل استفاده از پریوتوم و یا دستگاه پیزوسرجری با دقت کشیده شده طوریکه آسیبی به استخوان وارد نشود,سپس حفره دندان کشیده شده کورتاژ و تمیز شده و غالبا با مخروطهای کلاژنی و سایر مواد پیوندی که کمک به تثبیت لخته و ترمیم سریعتر و مناسبتر میکنند پر میگردد و حدود ۶ تا ۸ هفته صبر میکنیم و سپس ایمپلنت گذاری میشود. این زمان به بافت لثه فرصت ترمیم میدهد، و از تحلیل زیاد استخوان جلوگیری میشود.
این روش انتخاب میشود وقتی که:
- التهاب یا عفونت خفیف وجود دارد.
- دیواره استخوان کمی آسیب دیده و نیاز به ترمیم کوتاهمدت دارد.
- کمبود بافت نرم ویا تحلیل لثه وجود دارد و میخواهیم بافت نرم (لثه) برای پوشش مناسب اطراف ایمپلنت تشکیل شده و بهتر آماده شود.
مجاورت بسیار نزدیکی با ساختارهای آناتومیک مهم از قبیل عصب فکی تحتانی یا سینوس فکی وجود دارد و استخوان ارتفاع مناسبی در این نواحی ندارد.
به هر دلیل امکان قرار دادن ایمپلنت در مسیر ایده آل وجود نداشته باشد و یا ثبات اولیه ایمپلنت ایده آل نباشد.

در این روش بعد از درآوردن ریشه دندان محل دندان کشیده شده با مواد پیوندی مانند مخروطهای کلاژنی بازسازی میگردد,حدود 8-6 هفته بعد ایمپلنت گذاری انجام خواهد شد.

بخیه و حفاظت از کلاژن و حفظ فضا برای ایملنت گذاری

گاهی برای حفاظت بهتر از ناحیه و مواد پیوندی روی بخیه ها با چسب پری آکریل که در واقع نوعی از پانسمان برای چنین جراحیهایی است پوشیده میشود

ونهایتا انجام ایمپلنت و ساخت روکش بر روی ایمپلنتها در ناحیه ایی که از قبل آماده سازی شده است.
۳. کشیدن دندان و کاشت ایمپلنت با تأخیر طولانی همراه بازاسازی و پیوند استخوان وآمادهسازی
محل دندان کشیده شده (Ridge Preservation / Delayed Placement)
اگر استخوان به شدت آسیب دیده یا عفونت وسیع وجود داشته باشد، ابتدا باید محل دندان کشیده شده پیوند استخوان وآمادهسازی شود.
این کار معمولاً شامل پیوند استخوان و استفاده از غشا (کلاژن ممبرین) و انواع دیگری ازمواد و تکنیکها و پیوندهای استخوانی میتواند باشد تا شکل استخوان حفظ شود.
سپس بعد از ۴ تا ۶ ماه که استخوان جدید ساخته شد، ایمپلنت کاشته میشود.
این روش در موارد زیر ضروری است:
- عفونت شدید یا کیست بزرگ.
- شکستگی یا تحلیل شدید دیوارههای استخوان.
- اهمیت زیاد زیبایی (مثلاً دندانهای جلو) که نیاز به فرم ایدهآل لثه وضخامت کافی از استخوان داریم.
- اشکال زیر بصورت کلینیکی یک مورد از پیوند استخوان برای انجام ایمپلنت تاخیری را نشان میدهند.

در این شکل تحلیل و تخریب استخوان بدنبال کشیدن دندان مشاهده میشود,در این موارد بهتر است ابتدا پیوند استخوان(آگمنتیشن انجام شود و حدود 8-6 ماه بعد عمل ایمپلنت گذاری انجام شود.

عمل پیوند استخوان با استفاده از پودر استخوان مناسب و عشاء کلاژن قابل جذب در همان بیمار فوق که استخوان کافی بعد از کشیدن ددان نداشت.

ناحیه پیوند استخوان شده بخیه میشود که این بخیه ها بسته به شرایط میتواند قابل جذب و یا غیر قابل جذب باشد.
خلاصه:
پس بهترین زمان کدام است؟
هیچ «یک زمان ثابت» برای همه وجود ندارد.
جراح شما بر اساس این موارد تصمیم میگیرد:
- وضعیت استخوان و لثه بعد از کشیدن دندان
- وجود یا عدم وجود عفونت
- نیاز به پیوند استخوان یا اصلاح لثه
- شرایط کلی بدن شما (دیابت، سیگار، بیماریهای سیستم ایمنی و…)
هدف اصلی همیشه این است که ایمپلنت در محیطی سالم و پایدار قرار بگیرد تا بیشترین شانس موفقیت و ماندگاری را داشته باشد