روش پانچ در جراحی ایمپلنت — واقعیتها و محدودیتها
روش پانچ چیست؟
در روش پانچ، به جای برش لثه با تیغ جراحی و کنار زدن آن، با یک وسیله گرد کوچک (پانچ) یک سوراخ دایرهای معمولا به قطر 5-4 میلیمتر در لثه ایجاد میشود و در واقع قسمتی از لثه کاملا برداشته شده و حذف میشود تا محل کاشت ایمپلنت در استخوان نمایان شود.
در این روش، لثه به صورت کامل کنار زده نمیشود و جراحی بدون بخیه و با کمترین دستکاری بافت نرم انجام میگیرد.
ولی در روش استفاده از تیغ جراحی و برش لثه نه تنها هیچ میزانی از لثه حذف نمیگردد بلکه حتی در مواردی که کمبود لثه وجود دارد نیز با مدیریت بافت نرم و مهارت جراح میتوان میزان لثه را افزایش داد که در سلامت استخوان اطراف ایمپلنت و طول عمر ایمپلنت و زیبایی نهایی کار تاثیر چشمگیری دارد.
مزایای روش پانچ
- درد و تورم کمتر بعد از جراحی.
- عدم نیاز به بخیه و کوتاهتر بودن زمان جراحی.
- بهبود سریعتر بافت نرم در مواردی که انتخاباب روش پانچ بیمار برای این روش بدرستی انجام شود.
- خونریزی کمتر در طول عمل.

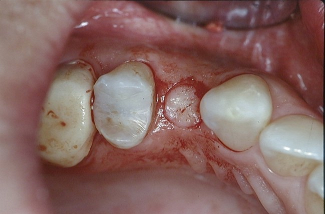
شکل فوق روش پانچ را نشان میدهد که در آن بخشی از لثه پانچ شده و برداشته میشود.
.jpg)
شکل فوق قرار دادن ایمپلنت را بعد از پانچ کردن لثه نشان میدهد
معایب و محدودیتهای جدی روش پانچ
- برداشته شدن دائمی و حذف قسمتی از لثه کراتینیزه که نقش بسیار مهم و کلیدی در حفظ استخوان اطراف ایمپلنت و نهایتا دوام و زیبایی ایمپلنت دارد: اگر بیمار عرض لثه کمی داشته باشد، با این روش همان مقدار لثه هم از بین میرود.
- عدم امکان دید مستقیم استخوان: جراح نمیتواند وضعیت واقعی استخوان را حین عمل مشاهده کند.
- عدم امکان انجام پیوند استخوان در همان جلسه، چون دسترسی کافی به استخوان وجود ندارد.
- خطر جایگذاری نادرست ایمپلنت به دلیل نبود دید کامل.
- خطر کاهش زیبایی در دندانهای جلو، به علت تحلیل یا تغییر فرم لثه.

در شکل فوق با توجه به اینکه عرض لثه کراتینیزه زیاد نیست (لثه بین دو خط چین)باید همین مقدار لثه بدقت حفظ شود و ابدا نباید از روش پانچ استفاده گردد
در مواردی که عرض لثه زیاد نیست و در بسیاری از بیماران نیز بدین گونه هست باید ایمپلنت از طریق برش با تیغ جراحی(روش مرسوم)
انجام شود تا عرض لثه حفظ شده و در آینده با کمبود لثه و تبعات آن مواجه نشویم.
ایمپلنتها از طریق برش جراحی و با حفظ لثه در اطراف ایمپلنت قرار گرفته,در اینمورد اگر از روش پانچ اسفاده میشد هم لثه از بین میرفت و هم امکان بازسازی استخوان وجود نداشت.
موارد عدم کاربرد (Contraindications)
روش پانچ مناسب نیست وقتی که:
- عرض یا ضخامت لثه کم است.
- نیاز به پیوند استخوان یا بازسازی همزمان داریم.
- استخوان به شکل ایدهآل نیست یا تحلیل دارد.
- محل کاشت در ناحیه زیبایی (Front Teeth) قرار دارد و فرم لثه اهمیت زیادی دارد.
- جراحی نیاز به اصلاح و یا پیوند استخوان یا مشاهده کامل استخوان دارد.
موارد محدود کاربرد واقعی روش پانچ:
- زمانی که استخوان و لثه از هر نظر سالم و کامل هستند, " یعنی در بعد افقی عرض استخوان کمتر از ۹ میلیمتر نباشد، در بعد عمودی نیز تحلیل استخوان وجود نداشته باشد،عرض لثه کراتینیزه به اندازه ایی زیاد باشد که وقتی به اندازه قطر ایمپلنت دایره ایی به قطر حدودا ۵-۴ میلیمتر و یا بیشتر از لثه را حذف کنیم باز هم میزان کافی و قابل قبولی از عرض لثه در اطراف ایمپلنت باقی بماند و برای بیمار مشکل کمبود لثه ایجاد نکنیم، لثه از لحاظ ضخامت نیز ضخامت زیاد و مناسبی داشته باشد تا در اینده مشکل نازیبایی روکش ایمپلنت برای بیمار ایجاد نگردد ", با توجه به در نظر گرفتن موارد فوق خودبخود موارد واقعی استفاده از روش پانچ برای ایمپلنت گذاری بسیار کم و حدود میشود.
- در نواحی دندانهای خلفی ( دندانهای عقب )که زیبایی اهمیت کمتری دارد.
- وقتی نیاز به هیچگونه پیوند یا اصلاح بافت لثه و یا استخوان نیست.
هشدار درباره تبلیغات اشتباه در مورد روش پانچ:
اخیراً بعضی تبلیغات، روش پانچ را به عنوان یک روش «نوین و بدون جراحی» معرفی میکنند، در حالی که این
روش یک تکنیک قدیمی با کاربردهایی محدود است و استفاده غیر اصولی آن میتواند به از دست رفتن بافت
لثه و کاهش طول عمر ایمپلنت منجر شود.
خلاصه:
انتخاب تکنیک جراحی باید بر اساس شرایط استخوان و لثه و نه بر اساس تبلیغات انجام شود.